Home > Blog > Hand Therapy & Customized Splinting > Conditions > Finger, Hand, Wrist, Forearm & Elbow Conditions > Scaphoid Fracture Hand Therapy
“Working with a knowledgeable hand therapist can make the difference between success and failure in complex hand surgical cases. The therapist extends the continuum of our care, as well as functioning as coach and trainer for our patients.”
Marybeth Ezaki, MD, Past President, American Society for Surgery of the Hand
In Phoenix Rehab, our senior hand therapists are experienced licensed and dedicated therapists (physiotherapists and/or occupational therapists) who specialized ONLY in the rehabilitation, treatment and management of painful fingers, hands, wrists, forearm & elbow conditions, because of interest, passion and expertise.

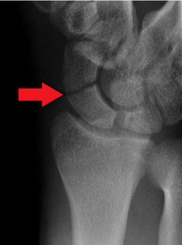
A X-ray showing a fracture through the waist of the scaphoid
The scaphoid is one of the eight small bones in the wrist called carpal bones. It is located just below the thumb and is the most commonly fractured (broken) carpal bone.
Some areas of the scaphoid have poor blood supply and may have difficulty healing and there is higher risk of avascular necrosis for scaphoid fractures.
Common symptoms include pain with movement of the wrist or thumb.
Sometimes there is only mild pain, and the injury is mistaken for a wrist sprain.
A scaphoid fracture is usually caused by a fall on an outstretched hand with the wrist bent backward.
Of course it can also be caused by a direct hit to the wrist, such as in a car accident or contact sport.
It is most common in active young adults.
If a scaphoid fracture is suspected, an X-ray of the wrist will be taken; however, sometimes the fracture is not seen right away.
If nothing is seen on an X-ray, the wrist may be placed in a cast or orthosis and then X-rayed again in two to three weeks.
An MRI may also be used for diagnosis.
Some fractures require immobilization in a cast or customized splint for eight weeks up to six months. The cast will include the wrist and thumb and may also include the elbow. The fingers will be free to move.
More complicated types of scaphoid fractures will likely require surgery to realign and stabilize the bone fragments.
Our senior hand therapists may fabricate a custom orthosis to immobilize the wrist and thumb to protect the healing bone.
The therapist will also educate the patient on how to reduce pain and swelling in the hand.
When the cast is removed, hand therapy will focus on regaining motion, strength and functional use of the wrist and hand.

Example of an orthosis to protect the healing bone after a scaphoid fracture
Patients may also receive the following hand therapy treatment modalities: