Home > Blog > Fractures Physiotherapy > Bone Fracture Healing

Our human bones are quite strong, but even how strong they are, they can and will break from:
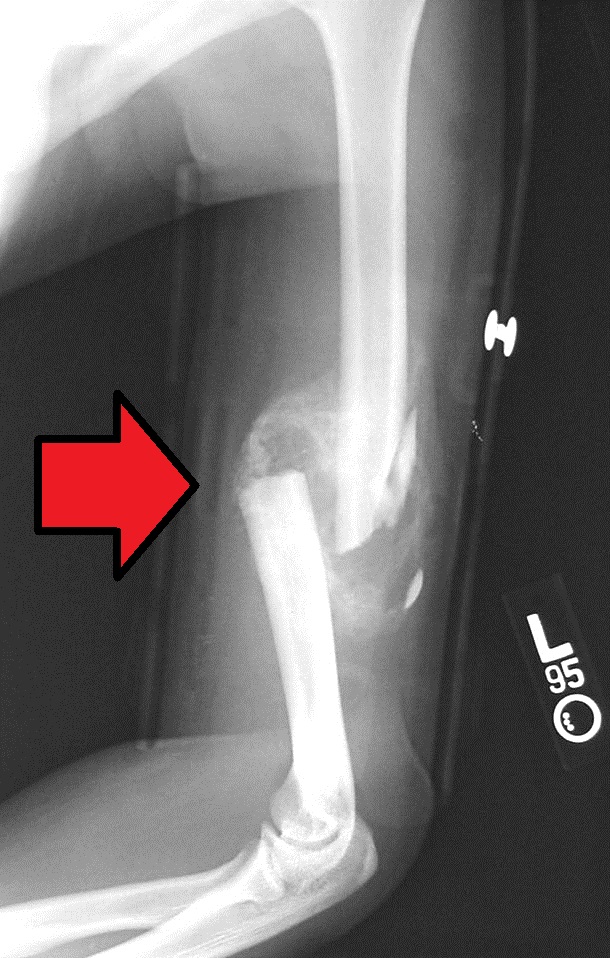
Medically, bone breakage is called bone fracture.
There are different types and grades of bone fractures too, from
However, today's topic covers on bone fracture healing speed so we will cover that only in this article.
There are four stages of bone fracture healing:
Stage 1
Immediately following a fracture (be it simple, small or large or complex), there will be many blood vessels that will be torn and much bleeding may happen. After a few hours, there will be a large fracture blood clot (termed as hematoma), will develop at the bone fracture location.
Stage 2
About 4 weeks after the fracture injury, in most normal healing individuals, bone callus formation will start to happen. You can see this by the formation of bone and cartilage that form around the fracture site, and it's main function is to stabilize the fracture site. That's the external callus.
Soon thereafter, cells from the external callus will start to specialize into osteoblasts which will start to install/lay new bone which fills the gap between fracture fragments. Once this starts to occur, mild temporary fracture stabilization is happening. (Patients may be placed on a customized splint or plaster casting to protect the fracture site)
Stage 3
As the fracture site and fracture continue to be repaired internally, osteoblasts will replace the cartilage of external callus with spongy bone. After the replacement is 100% completed, what happens is that both the internal and external calluses will combine and solidify to become a complete surrounding brace-like support structure.
The spongy parts will connect and gel the broken fragments together; whereas fragments of dead bones and areas of bones that are closest to the fracture site will be removed and replaced.
When this happens, the earlier broken ends of the bony fractures are now connected firmly in place and will be able to withstand normal loads and stresses from muscle contractions.
Stage 4
From month 4 to month 12 (one year), the osteoblasts will continue to absorb callus and form new bone and refine the fracture area. This is known as bone fracture remodelling, and when the remodelling is 100% complete, the bone of calluses will be fully gone and only living, strong bones remain.
Even the bulges at the bone fracture site will be removed, and the bone will have returned to its original size and shape.
During this time of fracture and fracture healing and after the fracture has healed, you may be referred to see:
depending on your fracture location ie back versus hip versus hand etc, and we highly recommend that you get physiotherapy and hand therapy treatment for your fractures because having a fracture often lead to
The biggest problem is actually stiffness, because if that isn't managed well, stiffness will decrease your ability to move your joint/body/hand and return to life and work as usual.